病史及检查目的:
患者,27岁男性,因“体检发现肝多发结节3月”就诊。患者3个月前体检超声偶然发现肝内多发、弥漫性分布的高回声结节,考虑恶性病变可能;但同期血常规、肝功能及肿瘤标志物等实验室检查均无阳性发现。患者无明显不适,体重无明显改变,否认乙肝、结核及肿瘤病史。进一步行胃、肠镜检查未见恶性病变征象;腹部MRI示“肝脏多发异常信号结节,部分抑脂相信号无明显减低,Inphase高信号,Outphase低信号,动脉期不均匀强化,部分病灶信号高于肝脏,门脉期结节强化信号低于肝脏,考虑肝转移瘤?”(图1)。为进一步寻找肿瘤原发病灶行18F-FDG PET/CT检查(图2-3)。

图1. MRI图像:病灶1(蓝色箭头)抑脂相仍呈高信号,病灶2(黄色箭头):抑脂相呈低信号。

图2. 18F-FDG PET/CT MIP图

图3. 18F-FDG PET/CT图:病灶1(蓝色箭头)CT值较高(约30HU),呈FDG摄取增高表现;病灶2(黄色箭头)CT值较低(-8HU),未见明显FDG摄取增高表现。
检查所见:
18F-FDG PET/CT见肝脏大小、形态可,内见多发大小不等类圆形低密度结节影(CT值分布在-10~30HU),直径分布在0.7-3.5cm,结节边界清晰,其内呈不同程度FDG摄取(SUVmax:2.8-4.6,肝实质SUVmax:2.8),且结节密度与其FDG摄取程度相关(CT值较高者FDG摄取相对较高);肝内、外胆管未见增宽。扫描野内其它部位未见明显异常结构改变或FDG摄取。
检查意见:
肝脏多发FDG代谢增高结节,结合病史及MRI考虑良性病变可能性大(肝多发性局灶性脂肪变性?),需与其他恶性肿瘤(如脂肪肉瘤、转移瘤等)鉴别,建议进一步组织病理学检查。
*终临床诊断:
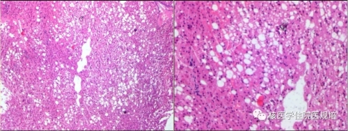
患者随后行“肝部分切除术”,术中见肝脏大小、形态、色泽及质地正常,肝脏表面可见弥漫、多发、大小不等的黄色结节,质韧,直径从3mm到2cm不等。取小块肝组织标本送检,病理(图4)回报:肝细胞重度脂肪变性,呈片状分布,肝细胞无明显异型,可见汇管区结构。未见明确恶性表现。

图4. 病理片(HE染色)
病例分析及相关知识:
本例患者为青年男性,超声、MR及PET/CT均显示肝内多发占位性病变,故首先恶性病变不能除外,然而该患者无论年龄、临床表现及实验室检查均未见恶性病变征象。将MR及18F-FDG PET/CT影像进行综合分析,可见肝脏内病变无论是在CT密度、MR信号及FDG摄取上均呈现异质性改变:①MRI:部分结节在抑脂相中呈低信号,提示其内为成熟脂肪组织;另一些结节在抑脂相中呈高信号,但同反相位序列中可见信号差别,提示其内存在脂肪成分;②CT:部分结节表现为典型的脂肪密度影,而部分结节则接近软组织密度影;③PET显像中结节的FDG摄取程度不等。以上影像特点亦均不符合恶性肿瘤的常见生物学表现。然而,通过查阅文献,发现该患者上述影像特征均可符合肝多发结节样脂肪浸润(Multifocal Nodular Steatosis, MNS)。
肥胖、酗酒、营养不良、糖尿病、高脂血症、化疗、服用过量类固醇激素和全胃肠道营养等多种原因致使肝脏脂肪代谢发生障碍,脂类物质的动态平衡失调,脂肪在肝组织细胞内贮积,称之为脂肪肝或脂肪浸润。肝脏脂肪浸润/脂肪肝通常是全肝弥漫性分布,以段叶分布、呈扇形或不规则形分布者也比较常见,而表现为结节样的却十分罕见。肝多发结节样脂肪浸润被认为是一种良性非肿瘤性病变,由于具有类肿瘤样的影像学表现,容易被误诊为肝转移瘤。有关肝多发结节样脂肪浸润的影像表现描述目前仅限于个案报道:超声表现为肝实质内多发高回声结节,造影各期血流灌注与正常实质无明显差异[1-3];CT平扫可见肝实质内大小不等的结节状低密度影,增强扫描中病灶轻度强化,其内及周边血管清晰,走形自然,无受压移位[3-5];MR则提示结节内存在脂肪成分; FDG PET/CT中可见结节呈不同程度的摄取[6]。
肝多结节状脂肪浸润的诊断中主要涉及与其他肝内多发病变的鉴别,*常见的恶性病变为肝内转移瘤和肝脏原发性肿瘤,良性病变则需考虑肝多发血管瘤、肝囊肿、肝脓肿等。1)肝转移瘤:FDG PET/CT对于肝转移瘤的诊断具有明显优势,同时可检出原发性肿瘤,通常同源性的肿瘤其影像特征相似;2)原发性肝内恶性肿瘤:肝细胞肝癌常发生于有慢性肝病的患者,CT增强扫描多呈典型的“快进快出”表现,PET/CT因病理类型及分级不同可见不同程度的FDG摄取;3)肝血管瘤:往往边界常清晰,CT/MR增强方式为早期从周边开始呈结节状或环形强化并逐渐向中心扩展,延迟期呈等或高密度填充(此特点被形容为“早出晚归”),PET/CT显像呈FDG摄取稀疏区;4)肝囊肿:多发肝囊肿较常见,较大病变可测得水样密度,边缘清晰,无强化,FDG显像呈稀疏缺损区。5)肝脓肿等感染性病变亦可表现为FDG摄取增高的多发病灶,但结合临床病史(常伴有发热、炎性因子增高等)及实验室检查,往往可以找到诊断的佐证。此外,特别值得提出的是,脂肪肉瘤亦可表现类似的18F-FDG PET/CT征象,但多为单发,若发生肝内转移时恐与本病鉴别困难,*终诊断需进一步临床随访或病理证实。
小结:
本病为多发病变,单纯PET/CT或MR均容易被误诊为恶性肿瘤,但综合分析其影像特征不难发现其中的脂肪成分和病变的异质性表现,对本病的诊断具有重要的提示价值。
作者:北京大学人民医院核医学科 邱李恒 李原 王茜
参考文献:
1. 罗孝勇, 向彦霖, 陈康. 肝脏多发局灶性脂肪变性的超声分析[J]. 临床超声医学杂志, 2012, 14(12):858-859.
2.Tamai H, Shingaki N, Oka M, et al. Multifocalnodular fatty infiltration of the liver mimicking metastatic liver tumors:diagnosis using the liver-specific late phase of Levovist-enhancedsonography[J]. J Ultrasound Med,2006,25(3):403-406
3. Tebala GD, Jwad A, Khan AQ, et al. MultifocalNodular Fatty Infiltration of the Liver: A Case Report of a ChallengingDiagnostic Problem[J]. Am J Case Rep,2016,17:196-202
4. 李勤勍, 杨军, 丁莹莹,等. 肝脏多灶性结节状脂肪浸润的CT和MRI诊断[J]. 临床放射学杂志, 2015, 34(11):1845-1848.
5. Kroncke TJ, Taupitz M, Kivelitz D, et al.Multifocal nodular fatty infiltration of the liver mimicking metastatic diseaseon CT: imaging findings and diagnosis using MR imaging[J]. EurRadiol,2000,10(7):1095-1100.
6. Han N, Feng HY, Arnous MMR, et al. Multipleliver focal fat sparing lesions with unexpectedly increased 18F-FDG uptakemimicking metastases examined by ultrasound 18F-FDG PET/CT and MRI. Hell J NuclMed, 2016, 19(2): 173-175.
